Περιοδοντίτιδα. Τι είναι πώς προκαλείται και τι προκαλεί;
Η περιοδοντική νόσος αποτελεί το υπ’ αριθμόν ένα αίτιο απώλειας δοντιών σε ηλικίες άνω των 35. Υπάρχει πιθανότητα κάποιος να έχει περιοδοντίτιδα και να μην το γνωρίζει. Ωστόσο εάν διαγνωσθεί στα πρώιμα στάδια , μπορεί να αναστραφεί με κατάλληλη φροντίδα.
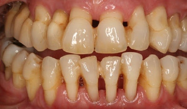
Η περιοδοντίτιδα πρόκειται για μια σειρά από φλεγμονώδεις ασθένειες που προσβάλλουν το περιοδόντιο, δηλαδή, τους ιστούς που περιβάλλουν και στηρίζουν τα δόντια. Η περιοδοντίτιδα συνεπάγεται προοδευτική απώλεια του φατνιακού οστού γύρω από τα δόντια, και αν αφεθεί χωρίς θεραπεία, μπορεί να οδηγήσει στην χαλάρωση και την επακόλουθη απώλεια των δοντιών. Η περιοδοντίτιδα προκαλείται από μικροοργανισμούς που επιλέγουν να αναπτύσσονται σε επιφάνειες του δοντιού
Η περιοδοντίτιδα είναι μια νόσος που προκαλεί την καταστροφή των οστών και των δομών που τα περιβάλλουν. Για να προλάβετε την εξέλιξη της νόσου είναι σημαντικό να βουρτσίζετε τα δόντια σας με σωστό τρόπο και να επισκέπτεστε τον οδοντίατρό σας σε τακτική βάση. Η περιοδοντίτιδα είναι σοβαρή νόσος, και πρέπει να προσπαθήσετε να σταματήσετε την εξέλιξή της. Βέβαια το ιδανικό θα ήταν να προλάβετε τη νόσο προτού προσβάλλει τα δόντια και τα ούλα σας.
Εάν δεν κάνετε κάτι για την εξέλιξη της περιοδοντίτιδας, η κατάσταση θα συνεχίσει να επιδεινώνεται. Κατά τα πρώτα στάδια της νόσου, θα παρατηρήσετε ότι τα ούλα σας έχουν έντονο κόκκινο χρώμα, και θα αισθανθείτε πόσο. Αυτό οφείλεται στο σχηματισμό πλάκας κάτω από την γραμμή των ούλων. Όταν αφεθεί χωρίς θεραπεία, η πλάκα και η πέτρα που θα έχει σχηματιστεί κάτω από τα ούλα θα προκαλέσουν σταδιακή διάβρωση σε οστά και δόντια.
Λάβετε υπόψη ότι η πλάκα δεν είναι απαραίτητο να είναι ορατή προκειμένου να διαγνωστεί η περιοδοντίτιδα. Για να προσδιορίσετε αν έχετε περιοδοντική νόσο, θα πρέπει να εξετάζεστε από τον οδοντίατρό σας σε τακτική βάση. Ο οδοντίατρός σας μπορεί να ελέγξει ούλα και δόντια, για να διαπιστώσει με ακρίβεια αν έχει εμφανιστεί ή όχι η νόσος. Αν έχετε περιοδοντίτιδα ο οδοντίατρός σας μπορεί να σας δώσει συμβουλές και να εφαρμόσει θεραπευτικές μεθόδους για να εμποδίσει την εξέλιξη της νόσου.
Η περιοδοντίτιδα δεν είναι απαραίτητα επώδυνη νόσος και εξελίσσεται με αργό ρυθμό. Μπορεί να έχετε τη νόσο και τα συμπτώματα να εκδηλωθούν σε βάθος χρόνου. Η απώλεια δοντιών είναι κάτι που ενδεχομένως θα συμβεί αν αφήσετε τη νόσο χωρίς θεραπεία.
Αίτια
1) Σωματικές και χημικές ερεθιστικές ουσίες- προϊόντα καπνού, αλκοόλ, λανθασμένη χρήση οδοντικού νήματος ή οδοντογλυφίδων
2)Μη φυσιολογικές συνθήκες στόματος- γέφυρες η μερικές οδοντοστοιχίες που δεν εφαρμόζουν σωστά, άσχημα ευθυγραμμισμένα δόντια, προβληματικά σφραγίσματα. 3)Εγκυμοσύνη
4)Φάρμακα όπως αντισυλληπτικά , αντικαρκινικά κ.α..
5)Ασθένειες όπως διαβήτης , κίρρωση του ήπατος , λευχαιμία κ.α..
6)Γενετικά- η κληρονομικότητα παίζει σημαντικό ρόλο
Ενδείξεις
• Κόκκινα, διογκωμένα και ευαίσθητα ούλα που αιμορραγούν όταν βουρτσίζετε τα δόντια σας
• Συσσώρευση πέτρας
• Δύσοσμη αναπνοή
• Άσχημη γεύση
• Ούλα που "τραβιούνται" μακριά από τα δόντια
Για τη σωστή οδοντική υγιεινή και την ασφάλεια των δοντιών σας συνιστάται η τακτική επίσκεψη στον οδοντίατρό σας για ελέγχους και καθαρισμό. Αν εντοπιστεί σε αρχικό στάδιο ο οδοντίατρος θα αποτρέψει με την κατάλληλη θεραπεία την εξέλιξη της νόσου. Αποφύγετε να αφήσετε τη νόσο να εμφανιστεί και να εξελιχθεί εφαρμόζοντας πιστά τους κανόνες στοματικής υγιεινής και ακολουθώντας τις συμβουλές του γιατρού σας.
medlabgr
try { _402_Show(); } catch(e) {}
Πηγή: daypress.gr

